Come si fa una protesi fissa?
E’ la sostituzione di un dente naturale con un manufatto protesico.



Si fa per sostituire un elemento dentario naturale allorché sia compromesso (esteticamente e funzionalmente) oppure si fa per mettere un elemento dentario mancante, nel qual caso pero’ si parlerà di ponte, giacché tale elemento dovrà “poggiare sulle due sponde di un fiume“ e quindi dovrà poggiarsi sul dente precedente e seguente.



Ma se non volessi limare il dente precedente e seguente?
In questo caso si dovrà ricorrere ad un impianto mettendo solo il dente mancante, nella sua componente ossea radicolare (vite in titanio) invisibile in bocca perché intraossea, e in quella protesica (protesi fissa su impianto che è ciò che vedi in bocca).
La “conditio sine qua non“per poter costruire la protesi fissa è preparare, cioè limare il dente. E’ ovvio come sia un sacrificio biologico e dovremo sempre metterlo su un piatto della bilancia. Tale sacrificio sarà ben accetto se sull’altro piatto della bilancia potremo mettere funzionalità ed estetica all’ennesima potenza.
In che materiale si fissa?
Si deve pensare alla protesi fissa come protesi costruita su due strati: il primo, quello più interno, a contatto con il moncone dentale non visibile è di metallo (oro, lega, palladio, zirconio etc.) e il secondo, invece visibile, è in porcellana o in resina.
Si può risolvere con una protesi fissa l’errata posizione dei denti?
Quando i denti sono mal allineati o mal posizionati, il trattamento elettivo è l’ortodonzia. Questa prevede, però, tempi lunghi (un anno-due). Qualora il paziente voglia risolvere la propria anomalia dentale in tempi rapidi è possibile risolvere i problemi di allineamento o di posizione con la protesi fissa.


Come si fa una protesi fissa?
Si fa preparando il dente da capsulare, cioè limandolo e rimpicciolendolo tanto da poter accogliere la parte metallica e quella in porcellana.
E negli impianti?
Si monta direttamente la protesi fissa sulla vite intraossea tramite una vite di inserzione.
Quali sono i vantaggi di una protesi fissa?
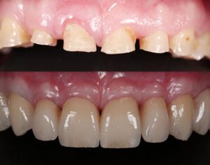
Il vantaggio primario è l’estetica perché possiamo costruire il dente come lo si vuole al massimo della sua valenza estetica.
Il secondo vantaggio è la funzionalità, che essendo all’interno dell’involucro metallico della protesi costruita in laboratorio, sarà più resistente e durerà più a lungo.
E gli svantaggi?
La “conditio sine qua non“per poter costruire la protesi fissa è preparare, cioè limare il dente.
E’ ovvio come sia un sacrificio biologico e dovremo sempre metterlo su un piatto della bilancia.
Tale sacrificio sarà ben accetto se sull’altro piatto della bilancia potremo mettere funzionalità ed estetica all’ennesima potenza.
Quanto dura una protesi fissa?
Una protesi ben fatta e ben portata, cioè ben tenuta e curata, ha una durata illimitata. E’ ovvio che sono necessari i controlli periodici semestrali per controllarne lo stato.
E per evitare di limare i denti?
Nel caso di un dente mancante è semplicissimo… Facciamo un impianto!
Ma quindi fare un impianto è un intervento chirurgico?
Si, ma è un intervento banale, tanto che la durata è tra i 10 e i 20 minuti. Si fa in anestesia locale ed è assolutamente indolore.
Quali condizioni sono essenziali per fare un impianto?
La condizione basilare è che deve esistere un quantitativo d’osso sufficiente per accogliere la vite.
